Koronavirus dövründə geniş yayılmağa başlayan bir diaqnoz var – “buzlu şüşə” mənzərəsi. Bəzən bunu “buz kristalı”, “buz parçası” kimi də adlandırırlar.
Via.az xəbər verir ki, Tədris Cərrahiyyə Klinikasının radioloqu, ATU-nun kafedra müdiri Məlahət Sultanova bir çox vətəndaşı adı ilə qorxuya salan “buzlu şüşə”nin mahiyyətini açıqlayıb.
Həkim qeyd edib ki, bəzən normal hallarda da “buzlu şüşə” görüntüsü radioloji görüntülərdə izlənilə bilər. Məsələn, müayinə zamanı xəstə dərindən nəfəs almazsa və ya müayinə nəfəsvermədə aparılarsa, ağciyərin havalılığının fizioloji ekspirator zəifləməsi səbəbindən bütün ağciyər sahələri homogen olmaqla “buzlu şüşə” görüntüsü verə bilər.
Hazırda “buzlu şüşə” görüntüsü koronavirus pnevmoniyasının əsas radiodiaqnostik əlaməti hesab edilir. Bu ,o deməkdir ki, normalda şəffaf havalı görünən ağciyərdə belə hallarda yarımşəffaf zonalar izlənilir, ağciyər sanki dumanlı görünür:
“Bu zaman bronx strukturlarının və pulmonar damarların saxlanması ilə ağciyərlərin eksudat və ya transudatla tutulması, interstisial qalınlaşmalar və ağciyər alveollarının hissəvi kollapsı ilə müşahidə olunan görüntü meydana çıxır. “Buzlu şüşə” xəstəliyin 3-4 günlərindən inkişaf etməyə başlayır və xəstə sağaldıqdan hətta bir ay sonra belə qala bilir. Xəstəliyin yüngül və orta ağır dərəcəsini keçirmiş xəstələrdə 2-3 aydan sonra dəyişikliklər tamamilə itir”.
Radioloq M.Sultanova bildirib ki, indi onlara ən çox verilən sual “buzlu şüşə” görüntüsünün indiyədək mövcud olub-olmaması ilə bağlıdır. Həkim qeyd edib ki, bu, yalnız COVID-19 xəstələri üçün səciyyəvi deyil, digər xəstəliklərdə də görülə bilər. Lakin bu görüntü pandemiya dönəmində uyğun kliniki-laborator əlamətlərlə izlənilərsə, onda diaqnoz COVID xəstəliyi kimi dəyərləndirilir.
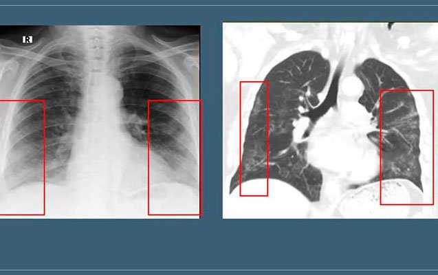
Qeyd edək ki, “buzlu şüşə” görüntüsü döş qəfəsinin rentgenoqrafiya və KT müayinələrində aşkar edilir. Lakin bu məsələdə rentgenoqrafiya müayinəsinin həssaslığı aşağıdır. Ona görə də yoluxmanın ilk 1-4 günlərində rentgenoqram 25% hallarda tam normal ola bilər. Bu, pnevmoniyanın olmaması demək deyil. “Buzlu şüşə”nin KT müayinəsində görülməsi daha spesifikdir (Şəkildə eyni xəstənin rentgenoqrafiya və KT müayinələrində buzlu şüşə görüntüsünün təsviri verilib).
