Gündəm
Siyasət
İqtisadiyyat
Sosial
Mədəniyyət
Dünya
Hadisə
Bölgə
İdman
Maraqlı
Şou-biznes
Bakıdakı kəskin üfunət qoxusu ilə bağlı götürülən analizlərin nəticələri açıqlandı - RƏSMİ
...
İyulun 20-dən sonra toyların keçirilməsinə icazə veriləcək? - Baş infeksionistdən AÇIQLAMA
...
Xırdalan sakinləri karantin qaydalarına məhəl qoymur - VİDEO
...
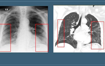
Hər kəsi qorxuya salan “buzlu şüşə” diaqnozu nə deməkdir? - FOTO
...
Şərəf və məsuliyyət!
...
Azərbaycanda koronavirusa 513 yeni yoluxma - 8 ölü
...
Səhiyyə Nazirliyi ölkədə COVİD-19 virusu ilə mübarizəni gücləndirmək məqsədilə xüsusi işçi qrupu yaradıb, 39 tibbi məntəqənin fəaliyyətini təşkil etdi
...
190 manatın verilməsinə başlanıldı – Nazirlikdən AÇIQLAMA
...
Mirşahin Ağayev koronavirusa yoluxdu
...
“Araz” supermarketlər şəbəkəsində əməkdaşlar arasında COVID-19-a yoluxanlar var? - AÇIQLAMA
...
Geri
1
...
110
111
112
113
114
115
116
117
118
...
476
İrəli
İranda səssizlik: 56 gündür...
Sosial mənzillər üçün kimlər yenidən müraciət edə bilər?
Azərbaycan Almaniyada keçirilən beynəlxalq incəsənət sərgisində təmsil olunur
ABŞ İran əməliyyatı üçün hər saniyədə 11 min dollar xərcləyir
Rumıniyada PUA vuruldu
Cərimə, həbs və... - Uşaqların dilənçiliyə cəlb olunmasının səbəbləri bəlli oldu
Amansızlıqla törədilən qətl hadisəsinin məhkəməsi davam edir…
Nazir müavini Şamaxıda müəllim və valideynlərlə görüşdü - Fotolar